ULTRASONOGRAFÍA EN LAS NEUROPATÍAS PERIFÉRICAS FRECUENTES DEL MIEMBRO SUPERIOR.

ENSAYO ICONOGRÁFICO

Dr. Agustín Arruti *

RESUMEN

Está más que demostrado que la ecografía junto con la Resonancia Magnética son los métodos de elección, para el diagnóstico de las distintas neuropatías periféricas.

El objetivo de este ensayo iconográfico es mostrar a través de imágenes cómo es que la ecografía asiste al diagnóstico. Para ello se reúnen distintos casos interesantes por su claridad o calidad los que fueron obtenidos en nuestra práctica diaria con diferentes pacientes a lo largo de los últimos 5 años.

La importancia del tema radica en la relativa frecuencia de este tipo de patología y el grado de impacto que puede tener un estudio adecuadamente realizado para el paciente y el médico clínico o el cirujano.

ABSTRACT

It is more than demonstrated that the ultrasound and Magnetic Resonance are the methods of choice, for the diagnosis of the different peripheral neuropathies.

The objective of this iconographic essay is to show through images how ultrasound helps the diagnosis. We collected different interesting cases selected for their clarity or quality of the images, that were obtained in our daily practice with different patients over the last 5 years.

The importance of the topic lies in the relative frequency of this type of pathology and the impact that an correct ultrasound study could have.

INTRODUCCIÓN

Gracias a las sondas modernas de alta frecuencia y tecnología compacta, el ultrasonido es una modalidad de imagen aceptada y de uso frecuente en la valoración de los nervios periféricos. La mejora de estas sondas ha permitido el reconocimiento de estructuras anatómicas sutiles de igual manera o mejor aún que aquellas detectadas con el empleo de bovinas de superficie en la resonancia magnética.

También ha permitido la detección de un amplio rango de condiciones patológicas que afectan los nervios. Además de la disponibilidad de tecnología de última generación, el ultrasonido de los nervios requiere de un gran conocimiento de los detalles anatómicos y de la estrecha correlación entre los hallazgos Imagenológicos con la clínica del paciente así como también con los resultados de los estudios electrofisiológicos.

Teniendo esto en cuenta el ultrasonido provee estudios de imagen de bajo costo, no invasivos, rápidos y con algunas importantes ventajas sobre la resonancia magnética: mejor resolución espacial, habilidad de explorar largos segmentos de los troncos nerviosos en un único estudio, realizar estudios comparativos pormenorizados con el mapa anatómico contralateral y examinar tanto de manera estática como realizar estudios dinámicos en tiempo real. En la práctica diaria se emplea como uno de los primeros métodos de imagen para la valoración del paciente con lesiones del sistema muscular o las partes blandas de muchas de las regiones del aparato locomotor. En muchos casos realiza el diagnóstico de la patología por la cual el paciente consulta y en los restantes orientando el resto del algoritmo de estudio.

A pesar de ello no es una técnica muy difundida entre los médicos radiólogos y ecografistas de nuestro medio.

MATERIAL Y MÉTODOS

Se empleó para la valoración equipos de ultrasonido con sondas lineales de alta frecuencia (Toshiba Nemio, Esaote MyLab50, GE Logiq 9, Sonoescape S8 y Sonoscape S9).

Todos las imágenes aquí mostradas son de pacientes vistos en la consulta (Hospital de Clínicas, CASMU, consulta particular) por el autor en el periodo entre el año 2012 y el 2017. En todos ellos el primer estudio de imagen realizado fue la ecografía el cual realizó el diagnóstico.

En los casos de las neuropatías por atrapamiento (túnel del carpo, túnel cubital con inestabilidad y neuropatía del interóseo posterior) y neuropatía tumoral fueron operados con adecuada evolución. Los pacientes con neuropatía traumática y en el paciente con el hamartoma del mediano se realizó control y rehabilitación.

ANATOMÍA ECOGRÁFICA NORMAL Y TÉCNICA DE EXPLORACIÓN

La apariencia ultrasonográfica de los nervios normales es relativamente uniforme, reflejando de buena forma su composición histológica. En planos en el eje corto, los nervios se ven por ultrasonido como estructuras en “panal de abeja” a manera de puntos hipoecogénicos incluidos en un fondo hiperecoico lo cual corresponde a los fascículos que corren longitudinalmente dentro del nervio y el fondo hiperecogénico se correlaciona con el epineuro interfascicular (Fig. 1).


Figura 1
Aspecto ecográfico de un nervio periferico-
corte transversal del nervio mediano en el antebrazo señalado entre flechas amarillas. Se observa el aspecto típico en panal de abeja en donde alternan pequeños puntos hipoecogénicos rodeados por un fondo hiperecogénico.

En el eje largo los nervios típicamente asumen una apariencia elongada con múltiples líneas paralelas hipoecogénicas que corresponden a los fascículos neuronales que corren longitudinalmente dentro del nervio separados por bandas hiperecogénicas En un nervio individual el número y tamaño de los fascículos es variable dependiendo de la distancia desde el sitio de origen, de la cantidad de presión a la que el nervio se encuentra sometido y de la ocurrencia de divisiones nerviosas.

Normalmente el Doppler color y el Doppler de potencia son incapaces de reconocer la débil vascularización de bajo flujo presente en el plexo perineural y las ramas intraneurales. (1, 2, 3,4).
Una técnica cuidadosa basada en el conocimiento de su localización precisa y el análisis anatómico de sus relaciones con las estructuras que los rodean es esencial para reconocer los nervios periféricos por ultrasonido. El principal plano para la exploración sistemática es en el eje corto del nervio, el cual se emplea para el seguimiento de los mismos a lo largo de su recorrido en los miembros. Los planos en el eje largo son menos efectivos para este propósito debido a que los fascículos elongados pueden ser fácilmente confundidos con los ecos provenientes de los músculos y los tendones en el mismo plano.
Una vez que es detectado el nervio debemos mantenerlo en el centro de la imagen en el eje corto y a continuación seguirlos proximal y distalmente moviendo la sonda hacia arriba y abajo dependiendo de su curso. Con esta técnica, a la que se le denomina “lift technique”, el examinador es capaz de explorar largos segmentos del nervio de las extremidades o miembros en pocos segundos.
Si se encuentran anormalidades extrínsecas o intrínsecas durante la exploración, la misma se centra entonces en el segmento de interés usando planos oblicuos y longitudinales. A pesar de que la mayoría de los nervios pueden ser explorados mediante ultrasonido con rapidez debido a su situación superficial y a la ausencia de hueso interpuesto, la misma no es posible en todas las regiones.
De hecho la exploración de casi todos los nervios craneales, excepto el vago y el espinal accesorio, de las raíces nerviosas provenientes de la columna torácica, lumbar y sacra, las cadenas simpáticas y los nervios esplácnicos del abdomen no pueden ser visualizados debido a su curso muy profundo o a la interposición de estructuras óseas. Como regla general, los nervios que trascurren entre estructuras musculares hipoecogénicas son más fácilmente identificables que aquellos rodeados por grasa hiperecogénica. De manera similar un nervio de un paciente joven físicamente activo es más fácilmente detectado que el mismo nervio de un paciente con atrofia muscular.
En el miembro superior los más explorados en la práctica diaria son el nervio radial (Fig. 2, 3, 4 y 5), el cubital (Fig. 2, 6 y 7) y el mediano (Fig. 2, 8 y 9), también es relativamente frecuente la necesidad de explorar al plexo braquial tanto a nivel del cuello como en la raíz del miembro superior (ver publicación previa en Revista de Imagenologia del Uruguay, EII, Vol. XV, Num. 1, Nov. 2011).


Figura 2
Esquema anatómico de los principales nervios del miembro superior






Figura 3
Nervio radial

Serie de cortes axiales del nervio radial desde su origen a nivel del hueco axilar hasta su bifurcación en sus dos ramas terminales a nivel del codo. Se identifica el mismo señalado por flechas amarillas y con las letras NR. AH-arteria humeral, tríceps- músculo tríceps, BA- músculo braquial anterior, CB- músculo coraco braquial, BR- músculo braquiorradial. A- axila, B- tercio proximal del brazo, C- tercio medio del brazo, D- tercio distal del brazo, E- codo, las flechas señalan las dos ramas terminales del nervio radial.




Figura 4
Nervio interóseo posterior
Serie de cortes axiales del nervio interóseo posterior, desde su origen a nivel del codo como rama terminal del nervio cubital hasta su terminación en la cara posterior del antebrazo. Se identifica el mismo señalado por flechas amarillas, supinador- Músculo supinador, flechas azules- ambas cabezas del supinador, flechas rojas- membrana interósea. A- tercio proximal antebrazo previo al ingreso al canal supinador, B- tercio proximal del antebrazo en el canal supinador entre los dos haces del supinador, C- tercio medio del antebrazo, localizado entre el plano muscular



Figura 5
Nervio radial superficial
Cortes axiales del nervio radial superficial, desde su origen a nivel del codo como rama terminal del nervio cubital hasta la zona distal visible con el equipamiento empleado en tercio distal del antebrazo. Se identifica el mismo señalado por flechas amarillas, localizado adyacente a la arteria radial (AR).







Figura 6
Nervio cubital
B- tercio medio del brazo,
C- tercio distal del brazo,
D- codo en canal epitrocleo-olecraneano,
E- codo- canal cubital,
F- tercio proximal antebrazo,



Figura 7
Nervio cubital
Serie de cortes axiales del nervio cubital desde su origen a nivel del hueco axilar hasta su terminación a nivel del canal de Guyon. Se identifica el mismo señalado por flechas amarillas y con las letras NC. AH-arteria humeral, PC- músculo prondador cuadrado, P- hueso pisciforme, Línea roja- ligamento anular del carpo, Línea amarilla- túnel de Guyon, Flecha azul- Arteria cubital-. A-tercio distal antebrazo, B- canal de Guyon.







Figura 8
Nervio mediano
Serie de cortes axiales del nervio mediano desde su origen a nivel del hueco axilar hasta el sector distal del antebrazo previo a su ingreso al túnel del carpo. Se identifica el mismo señalado por flechas amarillas y con la palabra mediano. AA-arteria axilar, VA- vena axilar, AH- arteria humeral, VH- vena humeral, VB- vena basilar, AC- ateria cubital, VC- vena cubital, BA- músculo braquial anterior, PR- músculo pronador cuadrado, FS- músculo flexos superficial, FP- músculo flexor profundo, PC- músculo pronador cuadrado. A- axila, se identifica el nervio superfical a la arteria axilar, B- tercio medio del brazo en canal bicipital medial, lateral a la arteria humeral, C- codo, medial al tendón distal del bíceps braquial y a la arteria humeral luego de cruzarla, superficial al músculo braquial anterior, D-antebrazo sector cefálico, entre las dos cabezas del pronador redondo, E- tercio medio del antebrazo, entre los músculos flexor superficial y profundo F- tercio distal antebrazo, superficial al pronador cuadrado.



Figura 9
Nervio mediano
Cortes axiales en el nivel del túnel del carpo, se identifica al nervio mediano dentro de la elipse amarilla. A- Túnel proximal, al nivel del hueso pisciforme (P), B- Túnel distal, entre el túberculo del trapecio (TT) y el gancho del hueso ganchoso (GG). AC- Arteria cubital, NC- Nervio cubital, Línea azul- ligamento anular del carpo.

VARIANTES ANATÓMICAS Y VARIANTES DEL DESARROLLO HEREDADAS

Dada las características ultrasonográficas normales de los nervios, algunas variantes anatómicas pueden ser reconocidas por este método. Entre ellas la bifurcación proximal del mediano en el puño es una de las más frecuentes. De manera similar algunas anomalías heredables y del desarrollo del sistema nervioso periférico, como el agrandamiento fusiforme del nervio mediano por tejido fibroadiposo (denominado hamartoma fibrolipomatoso (Fig.10), la hipertrofia de los nervios en el síndrome de Charcot-Marie-Tooth y el aumento de los nervios en la neuropatía hereditaria secundaria a parálisis por compresiones pueden ser reconocidas por ultrasonido. En estas enfermedades, los hallazgos ultrasonográficos pueden contribuir a la comprensión de la fisiopatología demostrando de forma no invasiva algunos hallazgos morfológicos de interés (1).




Figura 10
Hamartoma fibrolipomatoso del nervio mediano
A y B, cortes transversales en antebrazo y puño, las flechas azules señalan al nervio mediano aumentado de tamaño con fascículos engrosados. C- Corte longitudinal con hallazgos similares en plano longitudinal del nervio (flechas azules).

INESTABILIDAD NERVIOSA

El estudio dinámico por ultrasonido en el codo puede ser empleado para demostrar una dislocación anormal del nervio cubital, esto puede o no estar asociado al síndrome de chasquido del tríceps. Este hallazgo típicamente ocurre en el túnel cubital, el cual es un conducto osteofibroso formado por la gotera localizada entre el olecranon y el epicóndilo medial la cual se encuentra cerrada por el retináculo de Osborn.
En la ausencia congénita parcial o completa del retináculo del túnel cubital, el nervio cubital puede subluxarse por sobre la punta del epicóndilo o dislocarse anteriormente a ella lo cual se acompaña de una sensación momentánea de chasquido durante la flexión del codo.
La inestabilidad del nervio cubital en el túnel homónimo puede considerarse una variante normal lo cual fue reportado entre un 16% y 47% de pacientes asintomáticos sanos, siendo en estos casos la subluxación su forma más común. Sin embargo, en ocasiones el micro traumatismo crónico del nervio sobre el epicóndilo medial debido a la dislocación repetitiva puede asociarse con síntomas y signos de una disfunción del nervio cubital. En estos casos la inestabilidad del nervio debería de ser tratada con trasposición quirúrgica para evitar daños serios.
La exploración ultrasonográfica dinámica es el método ideal para detectar la inestabilidad del nervio cubital durante la flexión progresiva del codo, para reconocer las anormalidades en el nervio debidas a la neuritis por fricción como para establecer si la neuropatía cubital es producida por causas compresivas o por inestabilidad debido a que la clínica muchas veces no puede hacerlo (Fig. 11). (1,2,4,5,6)




Figura 11
Inestabilidad del nervio cubital
A- Corte transversal comparativo en el túnel epitrocleo-olecraneano con el codo en extensión: se observa el nervio cubital (flechas amarillas) a izquierda se encuentra engrosado e hipoecogénico con pérdida del patrón fascícular habitual lo cual es compatible con signos de neuropatía. B-Corte transversal comparativo en el túnel epitrocleo-olecraneano con el codo en flexión: se observa como el nervio cubital (flechas amarillas) a izquierda tiende a subluxarse, mientras que a derecha tiene una situación normal. C-Corte longitudinal sobre el nervio cubital (flechas amarillas) izquierdo, se demuestra la transición entre el patrón nervioso normal en brazo (recuadro color azul) y el patrón nervioso neuropático en codo (recuadro color rojo). EM- Epitroclea medial, Flecha roja- Canal epitrocleo olecraneano, Asterisco- músculo tríceps.

SÍNDROMES COMPRESIVOS Y NEUROPATÍAS POR ATRAPAMIENTO

Desde un punto de vista fisiopatológico la compresión nerviosa puede desarrollarse de modo agudo o crónico. Los períodos cortos de compresión resultan en un enlentecimiento y falla de la conducción a lo largo del punto de constricción, mientras que los sectores distales a ella del nervio conservan una función normal.
Si la compresión local es prolongada se induce isquemia por la compresión directa severa, lo cual determina una distorsión de la arquitectura del nervio y genera un daño en la vaina de mielina y degeneración axonal (degeneración Walleriana) de las fibras nerviosas. Esto determina un déficit persistente debido a la disrupción del axoplasma luego de que la compresión es liberada. Los nervios comprimidos en forma crónica son típicamente finos en el sito de la compresión (con una reducción en el número de fibras mielinizadas) y se encuentran engrosados proximalmente al sito de compresión.
El compromiso nervioso de causa extrínseca puede ocurrir en cualquier parte del organismo. Sin embargo es más frecuente en aquellos sitios donde el nervio pasa en túneles osteofibrosos inextensibles o debajo de una banda muscular, tejido conectivo u óseo anormal o prominente, en estos casos se denominan síndromes por atrapamiento.
En los síndromes de atrapamiento nervioso el ultrasonido puede demostrar cambios tanto en la forma como en la ecoestructura de los nervios, siendo los más comunes un aplastamiento súbito (signo de la muesca) con una reducción focal en el área seccional del nervio en el punto de la compresión y engrosamiento del mismo proximal al nivel de la compresión. Como hallazgo accesorio la exploración dinámica puede demostrar una reducción de la movilidad del nervio sobre la masa o debajo del retináculo. Otro elemento presente es la disminución de la ecogenicidad del nervio en la zona neuropática con pérdida del patrón fascícular al nivel de la compresión y proximal a la misma. Generalmente los cambios de la ecogenicidad ocurren de modo gradual y son más severos a medida que el nervio se aproxima al sitio de la compresión. Derivan del edema individual de cada fascículo y disminución de la ecogenicidad del epineuro. Los más frecuentes en miembros superiores son, carpo (Fig. 12 A y B), el del túnel cubital (Fig. 11) y el síndrome interóseo posterior (Fig.13 A y B) (1, 2, 4, 5,14).


Figura 12 a
Síndrome del túnel carpiano bilateral
Se observa dos cortes comparativos bilaterales del nervio mediano (trazo verde) en su eje corto o transversal en la zona proximal del túnel. Se identifica en ambas imágenes un aumento del área esperada del nervio, el cual se encuentra hipoecogénico y ha perdido el patrón fascícular habitual. Trazo rojo- Tendones flexores, Flecha azul- Arteria cubital, HC- huesos del carpo.


Figura 12 b
Síndrome del túnel carpiano
Se observan dos cortes longitudinales sobre el nervio mediano los cuales demuestran el signo de la muesca. En ambas imágenes, el corte es en la zona del nervio mediano inmediatamente proximal al ingreso al túnel (flechas rojas) donde el nervio se encuentra engrosado e hipoecogénico y en la zona del túnel propiamente (flechas azules) donde el nervio se encuentra achatado y comprimido. Se observa el cambio de calibre brusco o signo de la muesca (flecha amarilla) tanto en el ingreso al túnel como en la salida del mismo.


Figura 13 a
Síndrome interóseo posterior
Corte ultrasonográfico longitudinal del nervio interóseo normal- Se identifica en ambas imágenes el nervio (flechas verdes) como una estructura con forma de cuerda fina, con calibre uniforme cruzando el nivel de la articulación del codo e introduciendose entre ambos vientres del músculo supinador (SUP.)


Figura 13 b
Síndrome Interóseo Posterior
Corte ultrasonografico longitudinal del nervio afectado (flechas verdes)- A- Se observa la transición entre el sector cefálico sano del nervio y la zona caudal neuropática. BSe identifica una compresión focal en el nivel de la acrada fibrosa cuando el nervio entra al espacio graso localizado entre ambas cabezas del supinador (Recuadro azul).

TRAUMATISMOS DE LOS NERVIOS PERIFÉRICOS

Las lesiones traumáticas de los nervios periféricos son comunes. Según la literatura existe una lesión relevante de los nervios periféricos en un 2-3% de los pacientes admitidos por trauma nivel I en centros especializados. Si se incluye la lesión de plexos y raíces este porcentaje sube a 5%. Este tipo de lesiones constituyen un problema social mayor debido a que la recuperación es usualmente incompleta lo cual resulta en una alteración crónica habitualmente en pacientes jóvenes que son los más afectados.
El tratamiento precoz y adecuado es la única chance de mejorar el desenlace y por ello un examen exacto y precoz es obligatorio si se sospecha una lesión traumática. Las neuropatías traumáticas generalmente derivan de lesiones por tracción, contusión o heridas penetrantes que derivan de traumatismos.
Existen diferentes tipos de clasificaciones de las lesiones traumáticas. Unas de las más empleadas son aquellas desarrolladas por Seddon y Sunderland.
Seddon divide las lesiones nerviosas según su severidad en tres grandes categorías: neuroapraxia, axonotmesis y neurotmesis. Neuroapraxia, es el tipo más leve de lesión, en la cual el nervio mantiene la continuidad y determina una pérdida funcional transitoria. La axonotmesis ocurre cuando existe una interrupción completa de los axones del nervio y la mielina que los rodea, mientras que la estructura mesenquimatosa que incluye el peri y epineuro, esta respetada. Las perspectivas de recuperación son excelentes en este tipo de lesiones debido a que el mesénquima respetado provee un camino y una guía para la regeneración de los axones y la reinervación del órgano blanco. La neuronotmesis implica la desconexión del nervio, la pérdida funcional es completa y la recuperación sin cirugía generalmente no ocurre debido a la formación de una cicatriz.
La clasificación propuesta por Sudderland divide estas tres categorías de Seddon en 5 también según la severidad de la lesión. La lesión de primer grado corresponde con la neuroapraxia descrita por Seddon mientras que la de segundo grado se corresponde con la axonotmesis. Las lesiones de tercer grado ocurren cuando existe una disrupción axonal (axonotmesis) asociada con una lesión parcial del endoneuro, dependiendo de la extensión de la lesión endoneural la recuperación funcional puede ser posible. Sudderland divide la neuronotmesis de Seddon en dos categorías, la lesión grado cuatro se da cuando todas las porciones del nervio están rotas excepto el epineuro, la recuperación no es posible sin reparación quirúrgica. Las lesiones de quinto grado corresponden a una sección completa del nervio.
El ultrasonido es un método adecuado para la valoración de este tipo de pacientes y su correcto tratamiento. La ecografía tiene un papel complementario para confirmar el diagnóstico clínico y valorar con exactitud el sitio preciso de la lesión nerviosa.
En los desgarros completos la continuidad del nervio se ve interrumpida por un área hipoecogénica irregular entre los dos extremos del nervio seccionado, que se deba a la presencia de un hematoma y más delante de fibro-esclerosis. Por lo general, la presión local producida con la sonda sobre la zona de la lesión desencadena dolo intenso (signo de Tinel ecográfico). La apariencia ecográfica de los desgarros parciales puede diferir según el tamaño del nervio. En los nervios pequeños, como los ramos de división del nervio cubital y del radial, los desgarros parciales se observan como tumefacciones fusiformes con cambios hipoecogénicos de la ecoestructura ecográfica (neuromas fusiformes), sin defectos de la continuidad del nervio. En los nervios grandes, como el mediano y el cubital, los desgarros parciales se visualizan mejor en los planos transversales, que muestran la interrupción completa de algunos fascículos, mientras que otros mantienen su apariencia normal. Con los transductores de muy alta frecuencia, la exploración ecográfica meticulosa en los planos transversales puede estipular el porcentaje de fascículos afectados. En la mayoría de los casos se puede estimar el grado de afectación fascícular de modo fiable; por ejemplo, menos o más del 50% de los fascículos. (1,4,10,11,12,13)
En el miembro superior predominan sobre el plexo braquial aunque pueden afectar otros troncos nerviosos como el mediano, radial o cubital. Estas últimas son generalmente secundarias a fracturas, lesiones penetrantes o iatrogénicas. (Fig. 14).



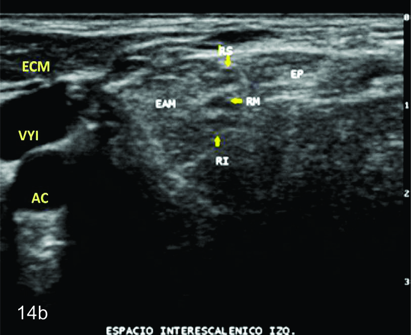
Figura 14 a y b
Lesión traumática del plexo braquial luego de accidente en moto.
A y B- cortes comparativos transversales al plexo braquial al nivel del espacio interescalénico (A-derecho patológico y B-izquierdo sano), se demuestra la asimetría de las estructuras del plexo. RS- tronco superior, RM-tronco medio, RI-tronco inferior, EP- músculo escaleno anterior, EAM-músculos escalenos medio y anterior.



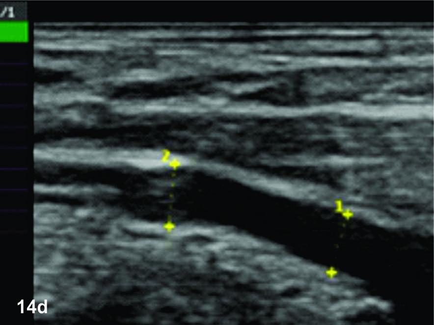
Figura 14 c y d
Lesión traumática del plexo braquial luego de accidente en moto.
C y D- cortes comparativos longitudinales sobre el tronco medio del plexo braquial (C- izquierdo sano y D- derecho patológico), se demuestra la asimetría de la raíz media del plexo, la cual se demuestra en un corte longitudinal comparativo (señalada entre calipers amarillos). La flecha blanca en D señala un fragmento óseo desplazado debido a una fractura del proceso transverso vertebral que generaba conflicto con la raíz.



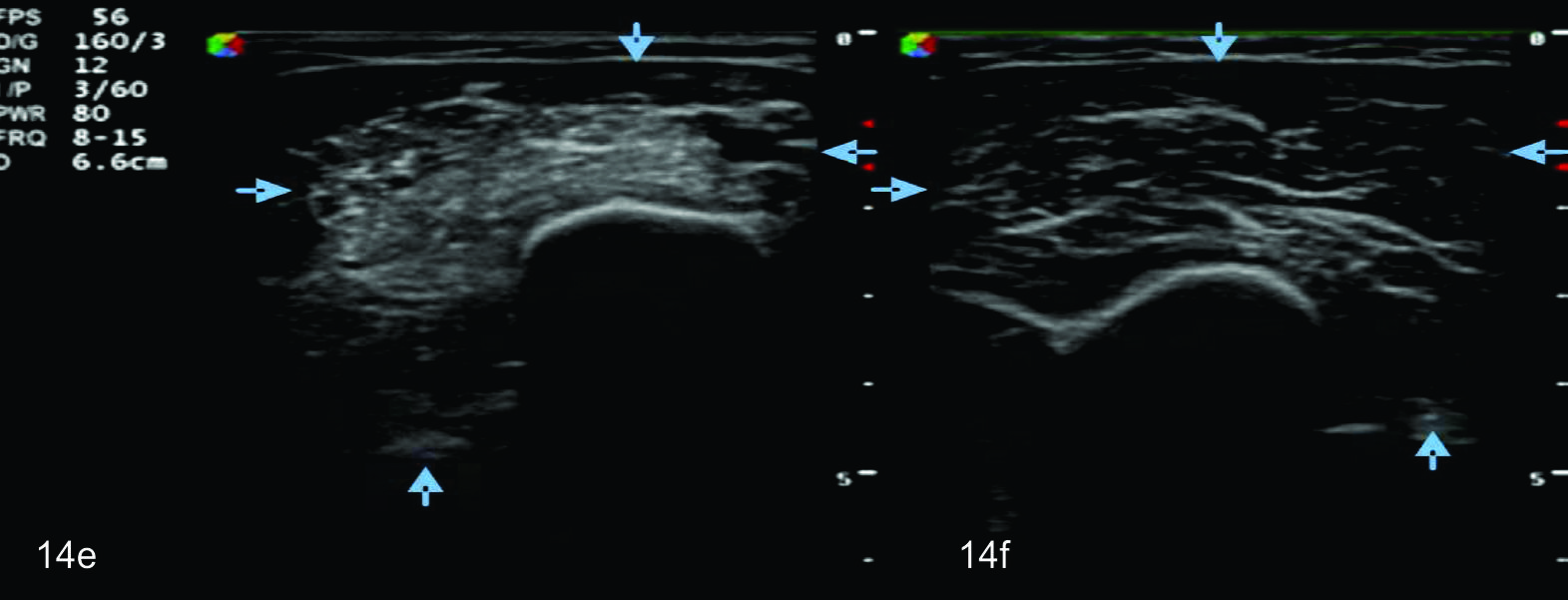
Figura 14 e, f, g y h
Lesión traumática del plexo braquial luego de accidente en moto.
EyF-Cortes comparativos a nivel de cara anterior de brazo derecho o afectado (E) y brazo izquierdo o sano (F), en donde se identifica la clara asimetría en el volumen y ecogenicidad de los planos musculares (flechas azules) en relación a cambios por atrofia. H- diáfisis humeral. GyH- Cortes comparativos a nivel de la cara anterior del antebrazo derecho o afectado (H) e izquierdo o sano (G), demuestra hallazgos similares. R- Diafisis radio, C- Diafisis cubito.

TUMORES DE LOS NERVIOS PERIFÉRICOS

Los tumores de los nervios periféricos incluyen: lesiones benignas representadas por el schwanoma o neurilemoma y los neurofibromas y lesiones malignas las que frecuentemente derivan de la transformación sarcomatosa de los neurofibromas. Además de ellos algunas otras lesiones menos frecuentes pueden desarrollarse dentro de los nervios disecando los fascículos y expandiéndose dentro del tejido de los nervios, entre ellas mencionaremos los hemangiomas, linfomas y quistes o gangliones. Además los nervios pueden ser englobados por tumores de las partes blandas adyacentes.
Los tumores de la vaina derivan de las células de Schwann. Los mismos se presentan como lesiones sólidas e hipoecogénicas las cuales se encuentran en continuidad directa con los nervios a través de sus dos polos, proximal y distal. Esto si bien ayuda al diagnóstico debe ser valorado con mucho cuidado ya que en ocasiones el nervio puede estar deformado y distorsionado en la zona de unión, inclusive en algunos casos esto puede no ser demostrable, como por ejemplo en los casos de un tumor en un nervio pequeño monofascícular (Fig. 15 y 16).
Ellos generalmente son hipoecogénicos y homogéneos, presentan refuerzo acústico posterior y un patrón hipervascular al valorarlos con el Doppler color y el Doppler de potencia (Fig. 15). Ocasionalmente se pueden reconocer áreas quísticas intratumorales debidas a una acumulación de matriz mixoide (schwanomas quísticos) y también pueden detectarse calcificaciones (Fig. 16). La diferenciación entre un schwanoma quístico y un ganglión intraneural puede ser realizada por la típica localización de éstos últimos.
También puede identificarse una alteración del nervio en el sector proximal al tumor, en donde frecuentemente se observa una pérdida del patrón fascícular, hipoecogénicidad y engrosamiento, esto en parte puede deberse al menos en parte una infiltración del nervio por células neoplásicas y no ocurre en el nervio en el sector distal al tumor.
Los schwanomas también pueden originarse de un único fascículo del nervio, el cual aparece difusamente engrosado aún a distancia del tumor, mientras que el resto de los fascículos se encuentran desplazados por la masa pero sin afectación en su tamaño y ecoestructura.
A diferencia de los schwanomas, los neurofibromas están íntimamente relacionados al nervio que los origina, se desarrollan de forma fusiforme más que globulosa, con el nervio ingresando y saliendo de la masa. Desde un punto de vista histopatológico, están compuestos por una mezcla de diferentes tipos celulares, la que predomina tiene las características de las células peri neurales.
A medida que las células del neurofirboma proliferan crecen en el epineuro hacia los tejidos blandos que lo rodean. Los neurofibromas pueden clasificarse en tres formas: localizados, difusos y plexiformes (asociados a la neurofibromatosis tipo I).
La variedad localizada es la más frecuente representando aproximadamente el 90% de los casos. Frecuentemente puede encontrarse el signo de la diana formado por una región central sutilmente hiperecogénica dentro de la masa hipoecoica, lo cual refleja un foco central fibrótico rodeada de tejido mixomatoso. Los neurofibromas son menos vascularizados que los schwanomas al valoralos con el Doppler color y el de amplitud.

A diferencia de los neurofibromas localizados, los difusos y plexiformes afectan frecuentemente la piel y el tejido subcutáneo y se presentan como una elevación en forma de placa en la piel con engrosamiento del tejido subcutáneo. En relación a los tumores malignos de los nervios periféricos, los únicos hallazgos que pueden hacer sospechar es un aumento del volumen tumoral repentino en un tumor previamente estable y la presencia de márgenes no definidos o la adhesión de la masa con los tejidos circundantes. A pesar de sus diferencias el ultrasonido no puede diferenciar entre un schwanoma un neurofibroma o un tumor maligno de los nervios periféricos.
El ultrasonido puede contribuir a la valoración preoperatoria de la extensión de la lesión definiendo las relaciones entre el tumor y las estructuras neurovasculares adyacentes y los músculos circundantes y también al ayudar a la planificación quirúrgica.
Desde el punto de vista quirúrgico los schwanomas pueden ser extirpados preservando la continuidad del nervio. Luego en el postoperatorio frecuentemente se encuentra un engrosamiento residual hipoecogénico en la zona de la resección tumoral y esto debe ser considerado como un hallazgo normal. La recurrencia no es frecuente. Por el contrario la resección quirúrgica de los neurofibromas compromete el nervio de origen debido a que la masa no puede ser separada de los fascículos nerviosos, por lo que se requiere la confección de un puente con nervio injertado para preservar o restituir la función nerviosa. La neurofibromatosis tipo 1 (enfermedad de Von Recklinghausen), un condición hereditaria autosómica dominante relativamente común relacionada con la alteración de un gen del cromosoma 17, se presenta con la tríada clínica característica de lesiones cutáneas (manchas café con leche), deformaciones esqueléticas (escoliosis) y retraso mental. En estos casos ocurre una afectación difusa en nervios superficiales y profundos con neurofibromas de tipo localizados, plexiformes y difusos.
En la neurofibromatosis los neurofibromas localizados generalmente involucran los nervios superficiales de la dermis y el subcutáneo, cuando son pedunculados se denominan “fibroma molluscum”. En la neurofibromatosis plexiforme, se generan innumerables neurofibromas de los fascículos de un nervio grueso el cual es típicamente afectado en un largo trayecto en conjunto con sus ramas originando lo que se denomina apariencia en “saco de gusanos”. Esto puede asociarse a un aumento del tamaño de las extremidades lo cual se denomina elefantitis neurofibromatosa.
Los neurofibromas plexiformes son indistinguibles por ultrasonido de los más raros schwanomas plexiformes los cuales se dan en niños y adultos jóvenes, estos últimos no están asociados a neurofibromatosis tipo 1 y no presentan riesgo de malignización. (1, 4, 5)




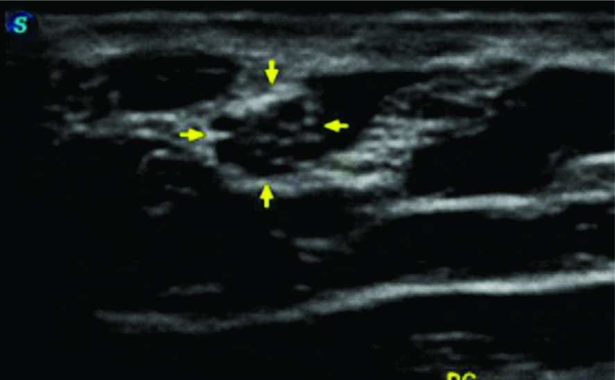
Figura 15
Tumor del nervio cubital a nivel del hueco axilar derecho.
A- SE observa un corte longitudinal del nervio cubital en donde se identifica una lesión sólida, expansiva, fusiforme (marcada entre calipers), la cual se encuentra en continuidad con el nervio cubital (flechas blancas abiertas). B- Corte transversal del mismo paciente en donde se identifica un área quística dentro del tumor, más frecuente en los schwanomas (flecha roja), Flecha amarillaarteria axilar. C- Con el empleo del Doppler de potencia se observa como el tumor se encuentra levemente vascularizado.



Figura 16
Tumor del nervio radial a nivel del brazo derecho.
A- Se observa un corte longitudinal del nervio radial proximal a la lesión (flechas blancas abiertas), se observa como el mismo se encuentra levemente engrosado y como se continúa con la masa en estudio (flecha amarilla). B- Corte transversal del mismo paciente en donde se identifica un tumor homogéneo ligeramente hipoecogénico y bien delimitado de los planos musculares adyacentes (flechas blancas abiertas).

CONCLUSIONES

Como hemos demostrado a través de la presentación de estos casos, la ecografía tiene un rol muy importante en el diagnóstico de este tipo de patologías. Personalmente he visto en estos años como la frecuencia con la que se solicitan estos estudios ha aumentado sustancialmente. También he comprobado como un estudio bien realizado es fundamental para la planificación quirúrgica correcta. Para ello debemos tener un gran conocimiento de la anatomía normal y la anatomía ecográfica de los distintos nervios, sus variantes anatómicas más frecuentes y las distintas patologías con las cuales podemos enfrentarnos en nuestra práctica diaria.
En estos tiempos donde existe un auge de la ecografía focalizada y donde cada día más el clínico emplea el ecógrafo como auxilio en su consulta, debemos como especialistas en Imagenología tener un manejo pormenorizado para continuar siendo referentes también en esta área de la Imagenología.

BIBLIOGRAFIA

  • S. Bianchi, C. Martinoli. ULTRASOUND OF THE MUSCULOSKELETAL SYSTEM. Italy. 2007, Springer.

  • Francis O. Walker, Michael S. Cartwright. ECOGRAFIA NEUROMUSCULAR.USA. 2012, Elsevier.

  • Sigfried Peer, Hannes Gruber. Atlas of peripheral nerve ultrasound, with anatomic and MRI correlation. 2013, Springer.

  • S. Peer, G. Bodner. High-Resolution Sonography of the peripheral nervous system. 2nd Revised Edition. Germany. 2008. Springer.

  • V. Creteur, C. Bacq et J. Widelec. Ecographie des nerfs peripheriques: premiere partie: miembre superieur. JRadiol 2004; 85:1887-99.

  • V B Gupta, MBBS, DNB K B Patankar, MD, DMRD F Paranjpe, MD J Patil, MD, DNB. Ultrasound diagnosis of ulnar nerve dislocation and snapping triceps syndrome. SA JOURNAL OF RADIOLOGY. June 2012 65-67.

  • Valle, MD Stefano Simonetti, MD Lorenzo E. Derchi, MD US of Nerve Entrapments in Osteofibrous Tunnels of the Upper and Lower Limbs. RadioGraphics 2000; 20:S199-S217 SJ Choi, JH Ahn, DS Ryu, CH Kang, SM Jung, MS Park, et al. Ultrasonography for nerve compression syndromes of the upper extremity. Ultrasonography 2015 Jan 13 [Epub]. http:// dx.doi.org/10.14366/usg.14060

  • Shiu Man Wong, MD James F. Griffith, MD, Andrew C. F. Hui, MD, Sing Kai Lo, PhD, Michael Fu, MD, Ka Sing Wong, MD. Carpal Tunnel Syndrome: Diagnostic Usefulness of Sonography. Radiology 2004; 232:93–99.

  • Anne M Hollister1, Alberto Simoncini1, Adam Sciuk2, Jenee’ Jordan3. High frequency ultrasound evaluation of traumatic peripheral nerve injuries. Neurological Research 2012 VOL. 34 NO. 1

  • MARK G. BURNETT, M.D., AND ERIC L. ZAGER, M.D. Pathophysiology of peripheral nerve injury: a brief review. Neurosurg Focus 16 (5):Article 1, 2004

  • F. Lapegue, M. Faruch-Bilfeld , X. Demondion, C. Apredoaei, M.A. Bayol, H. Artico, H. Chiavassa-Gandois, J.-J. Railhac, N. Sans. Ultrasonography of the brachial plexus, normal appearance and practical applications. Diagnostic and Interventional Imaging (2014) 95, 259-275. 2014 Éditions françaises de radiologie. Published by Elsevier Masson SAS.

  • Maziar Shafighi, MD, Raffi Gurunluoglu, MD, Milomir Ninkovic, MD, Ammar Mallouhi, MD, Gerd Bodner, MD. Ultrasonography for Depiction of Brachial Plexus Injury. J Ultrasound Med 22:631–634, 2003.

* Prof. Adj. Cátedra de Imagenología