ARTÍCULO ORIGINAL
	Dr. Fernando Lavista Bonino *
	Dra. Gloria Palazuelos **
	Dra. Stephanie Trujillo ***
	Dr. Javier Romero ****
	
	
			OBJETIVOS
			Determinar la proporción de estudios en la categoría BI-RADS®
			4 y sus subcategorías, de biopsias percutáneas bajo Ultrasonido
			y Estereotaxia. Calcular los diferentes valores predictivos (VP) y
			el resultado anatomopatológico de estos estudios, para luego
			compararlos con los propuestos en la 5ta edición del ACR
			BI-RADS®.
		
			MATERIALES Y METODOS
			Se realizó una revisión retrospectiva de todas las biopsias percutáneas
			guiadas por ultrasonido y estereotaxia, se seleccionó
			aquellas lesiones categorizadas BI-RADS® 4, entre Enero de
			2012 y Julio de 2014, registradas en el sistema IMPAX. Posteriormente
			se incluyó el diagnóstico anatomopatológico de cada
			biopsia reportada.
		
			RESULTADOS
			Se incluyeron un total de 396 biopsias en la categoría BI-RADS®
			4. Ciento ochenta y seis fueron subcategoría 4A, 181 subcategoría
			4B y 29 subcategoría 4C. Las biopsias realizas fueron
			en un 68% mediante guía ecográfica y el 32% mediante guía
			estereotáxica. Los resultados anatomopatológicos se clasificaron
			en 3 categorías: benignos, alto riesgo y malignos. En las
			subcategorías 4A y 4B predominaron las lesiones benignas
			(88% y 68% respectivamente), mientras que en las biopsia de
			las subcategorías 4C predominó la patología maligna (62%)
			Los VPP para cáncer correspondientes a las subcategorías 4A,
			4B y 4C fueron 4%, 12% y 62%, respectivamente.
		
			CONCLUSIÓN
			Los resultados obtenidos en nuestro centro se encuentran dentro
			de los parámetros recomendados por el Colegio Americano
			de Radiología en la 5ta edición del ACR BI-RADS®. Los criterios
			utilizados para las subcategorías BI-RADS® 4 se correlacionan
			adecuadamente en los rangos de probabilidad de malignidad.
		
Palabras Clave (MeSH): Cáncer de Mama, biopsias percutáneas, Valor Predictivo de los Tests de Tamizaje, BI-RADS 4.
			PURPOSE
			Analyze and compare the Positive Predictive
			Values and histological results from ACR
			BI-RADS® 4A, 4B y 4C imaging studies in
			the population of Santa Fe De Bogota Clinic
			Screening Program, with the Positive Predictive
			Value of ACR BI-RADS® 5th edition.
		
			METHODS AND MATERIALS
			We retrospectively reviewed all mammograms
			categorized ACR BI-RADS® 4 that
			were summited to US-guided and stereotactic
			guided large-core needle biopsy and
			histological results in the population of Santa
			Fe De Bogota Clinic Screening programmed
			from January 2012 through July.
		
			RESULTS
			The data was obtained from 396 large-core
			needle biopsies. These biopsies came
			up with imaging studies categorized ACR
			BI-RADS® 4A, 4B y 4C. Of 396 patients
			186 categorized with ACR BI-RADS® 4A,
			181 4B and 29 4C. The overall positive
			predictive value for cancer was 4%, 12% y
			62% in 4A, 4B y 4C subcategories.
		
			CONCLUSION
			Our results corroborate previous reports of
			the American Collegue of Radiology ACR
			BI-RADS® parameters. The subdivision of
			this category is helpful in the management
			of the different breast lesions.
		
Key Words (MeSH): Breast Cancer, Mammography, Early Detection of Cancer, Diagnosis, Predictive Value of Tests, Cancer Screening.
El Cáncer de Seno es la segunda neoplasia más frecuente en la población mundial sin embargo, es la primera en la mujer, con 1.67 millones de casos nuevos reportados en el año 2012, correspondiente al 25% de todos los casos nuevos de cáncer y es considerado como la quinta causa de muerte global por cáncer.
En países subdesarrollados ocupa el primer lugar de cáncer (14,3%) a diferencia de países desarrollados en los que suele encontrarse en segundo lugar (15.4%) después del cáncer de pulmón. En Colombia, según las bases de datos del Departamento Administrativo Nacional de Estadística (DANE), la mortalidad por cáncer de seno ha mostrado un incremento constante, en 1981 se registró una tasa de 3,5 por 100.000 que aumentó a 6,8 por 100.000 en el año 2000(1, 2).
En la actualidad el único método aceptado para realizar
		el tamizaje del cáncer de mama es la mamografía.
		Con el aumento en su uso y el comienzo de los programas
		de tamizaje poblacional en muchos países, organizaciones
		como, la Asociación Médica Americana, comenzaron a
		alertar que además de la variabilidad en la calidad de la
		mamografía, la variabilidad de las dosis de radiación, en
		las diferentes instituciones y que los informes mamográficos,
		contenían información ilegible y recomendaciones
		contradictorias (3). En respuesta a estas fallas y como
		asesoramiento el Colegio Americano de Radiología, el
		Centro de Control del Desarrollo y Prevención de Enfermedades,
		el Centro de Administración de Medicamentos y
		Alimentos, el Colegio Americano de Cirujanos, el Colegio
		Americano de Patología y el Instituto Nacional del Cáncer
		de Estados Unidos, desarrollaron en 1989 un sistema (4),
		el Breast Imaging Reporting and Data System (BI-RADS®),
		el cual establece recomendaciones sobre la mamografía,
		sobre la estructura general de los informes, las categorías
		de evaluación final con recomendaciones de manejo y la
		utilización de un léxico especifico(5).
Dicho sistema inicialmente creado a ido evolucionando y actualmente incluye ultrasonido, resonancia magnética, además de la mamografía. De esta manera el sistema ACR BI-RADS® crea un lenguaje universal, único y definido que permite categorizar las lesiones de acuerdo al grado de sospecha, asignando un VPP y establece conductas a seguir (Tabla 1).
Cuando se detecta un hallazgo en imágenes mamarias,
		es necesario comunicarlo a través de un informe, que
		tenga congruencia entre los descriptores y la categoría
		asignada y dependiendo de VPP del hallazgo dar una
		recomendación final.(5-9).
		Definimos Valor Predictivo Positivo, como la probabilidad
		de que una determinada enfermedad este presente, cuando
		el resultado de la prueba es positiva. Cada categoría
		ACR BI-RADS® se le asigna un VPP determinado.
 
Se realizó un estudio observacional de cohorte retrospectivo de todas las biopsias por ultrasonido y estereotaxia de lesiones subcategorizadas ACR BI-RADS® 4, realizadas en nuestro centro, entre Enero de 2012 y Julio de 2014, registradas en el sistema IMPAX. Se analizó las imágenes obtenidas, los reportes histopatológicos.
Población
			Se registró información demográfica, categorías ACR BIRADS
			®, hallazgos imagenológicos, indicación de la biopsia,
			y el diagnóstico anatomopatológico de dichas biopsias.
Imágenes Diagnósticas
			Todas la pacientes seleccionadas debían contar con imá-
			genes mamarias previas, si eran pacientes extra-institucionales.
			Desde el 2012 todos los estudios institucionales
			mamográficos se realizaron en un Mamógrafo Hologic ®
			Selenia Dimensions con proyecciones de tomosíntesis
			dentro del protocolo de adquisición de imágenes. Se
			realizaron enfoques lateral a 90º y magnificados tanto en
			2D como en tomosíntesis según indicación.
			Se realizó doble lectura, en un primer tiempo los estudios
			son analizados por los residentes de Radiología y Fellows
			rotantes en imágenes mamarias y en un segundo tiempo,
			los estudios fueron analizados por los médicos del Staff
			Juniors y Seniors de la institución, quienes dan la aprobaci
			ón final.
			Las biopsias por ultrasonido se realizaron en ecógrafos
			de alta resolución Toshiba® Aplio XG, con software de
			Elastografía, de Micropure y transducores de 12 y 18 MHz.
Técnica de la biopsia
			El total de pacientes fueron remitidas a biopsia histológica,
			en nuestra institución, las cuales fueron realizadas por
			médicos radiólogos con entrenamiento avanzado y alta
			experiencia en imagenología mamaria.
			Para ultrasonido se utilizaron agujas de corte semiautom
			áticas de único disparo y 16 G, de 15 cm de longitud,
			con un extrusión de 22 mm.
			Y para esterotaxia se utilizó una silla de estereotaxia
			marca GE® MGX-D32 y agujas de corte 14G con pistola
			automática.
Análisis estadístico
			Se realizó un análisis univariado con medidas de tendencia
			central dado la naturaleza de las variables incluidas.
De los estudios categorizados como ACR BI-RADS 4A,
			4B y 4C, dentro del periodo establecido, se incluyeron
			un total de 396 biopsias, las cuales se confirmaron histol
			ógicamente en el 100%.
			Dichas biopsias fueron mediante guía ecográfica en un
			68%(n=269) y mediante guía estereotáxica en un 32%
			(n=127).
Imagenología
			De esta manera del total de pacientes realizadas, fueron
			evaluadas prebiopsia de la siguiente manera, el
			47% (n=186) fueron subcategoría 4A, 46%( n=181)
			correspondieron a la subcategoría 4B y un 7% (n=29)
			subcategoría 4C.
			En mamografía las microcalcificaciones fueron el hallazgo
			más frecuente 55,3% (n=219)(Figura 5), en segundo
			lugar se encontró como hallazgo principal la presencia
			de nódulos 38,1% (n=151)(Figura 4). Las asimetrías correspondieron
			a el 4,2% (n=17) y las distorsiones fueron
			el 2,3% (n=9) (Figura 3).
			En ultrasonido el 100% de los hallazgos fueron nódulos
			sospechosos, (Figura1,2)
			Los resultados anatomopatológicos se muestran en la tabla 2
			Tabla 2. Distribución patológica de los estudios categorizados
			ACR BI-RADS® 4 y sus subcategorías.
			En a subcategoría BI-RADS 4A, que representó el 47%
			de los casos la patología benigna correspondió al 88,2%
			(n= 164), el 7,5% (n= 14) fue patología de alto riesgo y
			el 4,3% (n= 8) fue patología maligna.
 
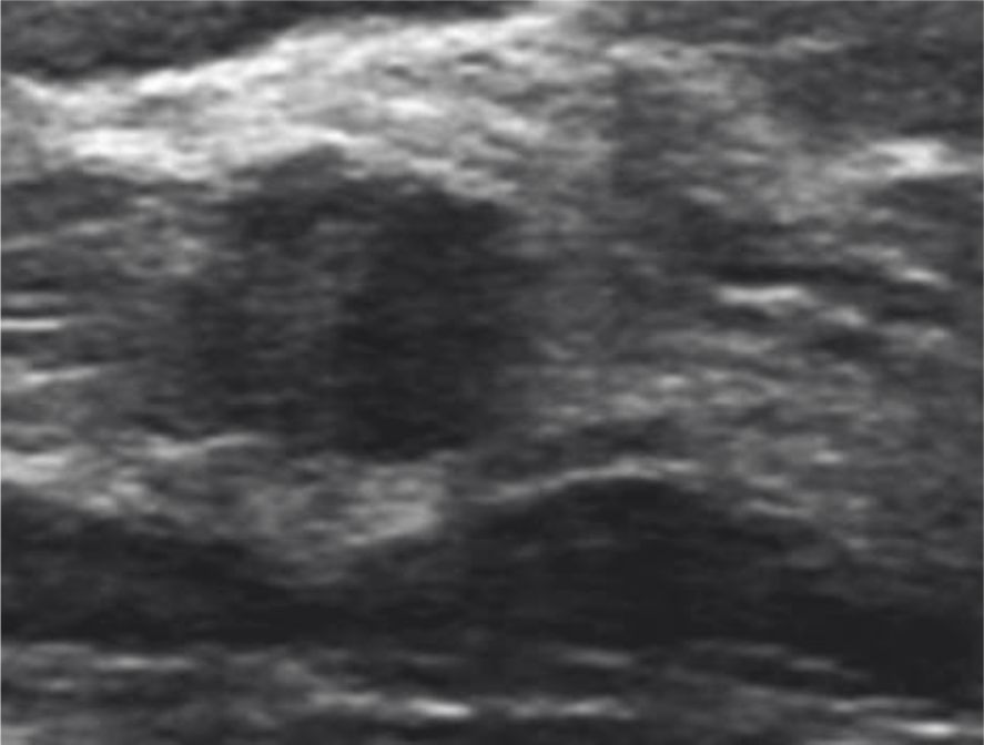
Figura 1
		Ecografía de alta resolución. Muestra un nódulo
		sólido, hipoecoico de 8 mm de diámetro, de
		márgenes microlobulados categorizados como ACR
		BI-RADS® 4B. Histología Carcinoma Invasivo de Tipo
		No Específico (NOS).
 
 
			Figura 2
			Nódulo sólido, ovoideo de contornos
			circunscritos con extensión intraductal
			categorizado como ACR BI-RADS® 4B.
			Histología Fibroadenoma
		
En a subcategoría BI-RADS 4B, que representó el 46% de los estudios, el 69,6% (n= 126) correspondió a patología TABLA 2 - Distribución patológica de los estudios categorizados ACR BI-RADS® 4 y sus subcategorías benigna, la patología de alto riesgo fue el 18,2%(n=33), en 12,2% (n=22) se encontró patología maligna.
En a subcategoría BI-RADS 4C que representó el 7% de los, la patología maligna, se encontró en el 62,1% (n= 18), la patología benigna correspondió al 27,6% (n= 8) y la patología de alto riesgo fue del 10,3% (n= 3) Por lo tanto los VPP para la subcategoría BI-RADS 4 Apara patología maligna fueron, 4,3%, 4B 12,2% y para el 4C 62,1%.
 
 
			
			Figura 3
			Distorsión de la Arquitectura mamaria
			
			categorizada
			como ACR BI-RADS® 4B. Histología Carcinoma Invasivo
			de Tipo No Específico (NOS)
		
 
			
			Figura 4
			Nódulo sólido,
			
			ovoideo de contornos circunscritos,
			palpable en una paciente de 55 años fue categorizada
			como ACR BI-RADS® 4A. Histología Carcinoma
			Invasivo de Tipo No Específico (NOS)
		
 
 
			
			Figura 5
			Acúmulo de microcalcificaciones amorfas,
			
			categorizada como ACR BI-RADS® 4B. Histología
			Carcinoma ductal in situ	
		
La categoría BI-RADS® 4, establece una recomendación
		final que establece que la biopsia histológica debe realizarse
		en ausencia de contraindicación clínica.
		Esta categoría presenta un amplio rango de VPP que van desde › 2% a ≤ 95%.
		Orel y col(10), analizaron patológicamente 1312 lesiones
		mamográfícas y econtraron que para la categoría BIRADS
		® 4 es de 30%.
		En la 4ta edición (2003) se realizó la subcategorización,
		que estaba conformada de la siguente manera 4A (VPP
		3-10%), en dicha subcategoría es necesaria la realización
		de la biopsia, pero un resultado negativo de la biopsia es
		esperable y no requiere otro estudio, el seguimiento es
		aceptado; 4B (VPP11 ? 50%), en esta subcategoría el grado
		de sospecha de malignidad es moderado, por lo que la
		biopsia histológica también está indicada , pero en esta
		subcategoría, un resultado anatomopatológico de benignidad,
		debe ser debidamente discutido y una correcta
		correlación anatomopatológica con la imagenología es
		necesaria y en la subcategoría de 4C (VPP 50 -94%),
		donde existe un alto grado de sospecha de malignidad,
		por lo que un resultado de biopsia negativo es considerado
		no aceptable (5, 11).
		En nuestra serie que muestra resultados acordes con la
		literatura internacional, el VPP global para la categoría ACR
		BI-RADS® 4 fue del 12% (n=48), para cada subcategoría
		los VPP obtenidos muestran que la subcategoría 4A le corresponde
		un VPP de 4,3%, para la categoría 4B el valor
		fue 12,1% y para la 4C fue de 62% lo que lo ubica en el
		rango establecido por el ACR BI-RADS® (5) y similares a
		los publicados por M. Torres-Tabanera y colaborados en
		2011 donde muestran que los VPP para la subcategoría
		4A fue de 8,8%, para la subcategoría 4B fue de 18,9% y
		4C fue del 58,3%.
La ventaja de contar con biopsias percutáneas, tanto con guía ecográfica como estereotáxica, es que se evitan much ísimos procedimientos quirúrgicos innecesarios, con la consiguiente disminución de costos para las instituciones y pacientes.
 
Como conclusión los resultados obtenidos en nuestra serie, se encuentran dentro de los
		parámetros recomendados por el Colegio Americano de Radiología en la 5ta edición
		del ACR BI-RADS®®.
		Los criterios utilizados para las subcategorías BI-RADS® 4 se correlacionan adecuadamente
		en los rangos de probabilidad de malignidad.
		La subcategorización es importante para la toma de decisiones, correlación clínico
		patológica y una ayuda fundamental para que la paciente auto-determine el manejo
		de su enfermedad.
4. Detección temprana del cáncer de mama aspectos críticos para un programa de tamizaje organizado en Colombia.pdf.
ROCHE. DICCIONARIO MEDICO ROCHE: DOYMA; 1993.
Burnside ES, Sickles EA, Bassett LW, Rubin DL, Lee CH, Ikeda DM, et al. The ACR BI-RADS< sup>® Experience: Learning From History. Journal of the American College of Radiology. 2009;6(12):851-60.
D’Orsi CJ, Newell MS. BI-RADS decoded: detailed guidance on potentially confusing issues. Radiologic clinics of North America. 2007;45(5):751-63, v.
D?Orsi CJ SE, Mendelson EB, Morris EA et al. ACR BI-RADS® Atlas, Breast Imaging Reporting and Data System. Reston, VA: American College of Radiology; 2013.
Tabar L, Vitak B, Chen H, Yen M, Duffy S, Smith R. Beyond randomized controlled trials: organized mammographic screening substantially reduces breast carcinoma mortality. Cancer. 2001;91(9):1724-31.
Ciatto S, Cataliotti L, Distante V. Nonpalpable lesions detected with mammography: review of 512 consecutive cases. Radiology. 1987;165(1):99-102.
Cyrlak D. Induced costs of low-cost screening mammography. Radiology. 1988;168(3):661-3.
Hall FM, Storella JM, Silverstone DZ, Wyshak G. Nonpalpable breast lesions: recommendations for biopsy based on suspicion of carcinoma at mammography. Radiology. 1988;167(2):353-8.
Orel SG, Kay N, Reynolds C, Sullivan DC. BI-RADS Categorization As a Predictor of Malignancy 1. Radiology. 1999;211(3):845-50.
Ho CP, Gillis JE, Atkins KA, Harvey JA, Nicholson BT. Interactive case review of radiologic and pathologic findings from breast biopsy: are they concordant? How do I manage the results? Radiographics : a review publication of the Radiological Society of North America, Inc. 2013;33(4):E149-52.
* Radiologo. Asistente del Servicio de Imagenologia Mama en el Departamento Clínico de Imagenología Mamaria Hospital de Clinicas – Dr. Manuel Quintela. Montevideo – Uruguay. Integrante del Programa Internacional de la Escuela Latinoamericana de Radiología en la Fundación Santa Fe de Bogotá University Hospital, Bogotá, Colombia E-Mail: dr.lavista@gmail.com.
** Radióloga. Centro de Imágenes Mamarias de la Fundación Santa Fe de Bogotá, Bogotá - Colombia. E-Mail: palazuelosgloria@icloud.com.
*** Asistente en investigación en la Fundación Santa Fe de Bogotá, Bogotá - Colombia. E-Mail: stephytrujillo@hotmail.com
**** Radiólogo. Jefe del Centro de Imágenes Mamarias de la Fundación Santa Fe de Bogotá. Profesor asociado Universidad El Bosque, Universidad de Los Andes y Universidad Nacional de Colombia. Corresponding Author: Dr. Fernando Lavista Bonino. E-Mail: dr.lavista@gmail.com.